Zahnersatz in einer Sitzung
Sofortversorgung mit Implantatkrone oder Inlay
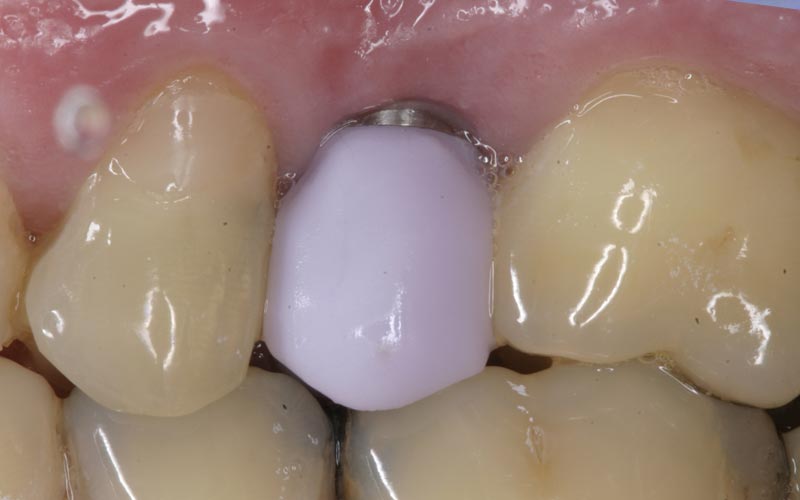
Heute steht unseren Patienten dank der digitalen Zahnheilkunde ein Verfahren zur Verfügung, mit der sie eine Implantatkrone in nur einer Sitzung, d.h. in weniger als 2 Stunden, erhalten können. Die so gefertigten Einzelkronen und Inlays aus Keramik sind passgenau, preiswert und von hoher Qualität.
Ablauf einer Sofortversorgung
- 3D-Scan der Nachbarzähne und des Implantates
- digitale 3D-Konstruktion der Krone
- Fräsen der Krone
- Anprobe der Rohkrone, ggf. Feinkorrektur der Krone
- Finish der Krone (Farbanpassung, Aushärtung)
- Einsetzen der fertigen Krone
Das Video zeigt die Sofortversorgung mit einer Implantatkrone
Mehr Qualität für unsere Patienten
Unsere digitale Prozesskette führt insgesamt zu einem deutlichen Plus an Qualität für unsere Patienten und darauf sind wir besonders stolz.
Vorteile für Patienten
- Extrem kurze Behandlungszeit*
- Geringere Kosten
- Hohe Qualität
- Passgenauer Zahnersatz durch digitale Verarbeitung
Falls Sie Fragen dazu haben, stehen wir Ihnen selbstverständlich zur Verfügung.
menschlich · kompetent · zuverlässig


